Gingivitis is the earliest stage of gum disease. It happens when plaque, a sticky film of bacteria, builds up on your teeth and causes your gums to become red, swollen, and bleed easily. [1]
Gingivitis is reversible if caught early. That’s why it’s so important to recognize the signs and see a dentist before it turns into a more serious problem like periodontitis, which can lead to tooth loss. [2]
At Englewood Dental – The Center for Implants and Aesthetics, we believe that prevention is the key to lifelong oral health. Our team is here to help you catch gum problems early, treat them gently, and keep your smile healthy for years to come.
What Is Gingivitis?
Gingivitis is a mild form of gum disease. It happens when your gums become irritated, red, and swollen because of plaque that builds up on your teeth and along the gumline. [1] Plaque is a sticky film of bacteria that forms when you don’t brush and floss regularly.
When plaque isn’t removed, it hardens into tartar. This can make your gums more inflamed and lead to bleeding when you brush or floss. [3]
Gingivitis is not the same as periodontitis. Gingivitis is the early stage of gum disease and can usually be reversed with good oral hygiene and professional dental cleanings. But if gingivitis is not treated, it can turn into periodontitis, a more serious gum disease that can damage the bone supporting your teeth and even lead to tooth loss. [2]
So, the earlier you treat gingivitis, the better. Taking care of your gums now can help you avoid more painful and expensive problems in the future.
Gingivitis is reversible when treated early, but delaying care can allow gum disease to progress.
Request an Appointment at Englewood Dental Today
Common Causes of Gingivitis
Gingivitis usually starts when plaque builds up on your teeth and irritates your gums. But there are also other factors that can increase your risk of gum problems.
Poor oral hygiene and plaque buildup
Not brushing and flossing every day allows plaque, a film of bacteria, to stay on your teeth. Over time, this plaque irritates the gums and leads to gingivitis. [1]
Smoking or tobacco use
People who smoke or use tobacco are more likely to get gum disease. Smoking weakens your body’s ability to fight off infections, including those in your gums. [4]
Hormonal changes (e.g., pregnancy, puberty)
Changes in hormone levels, such as during puberty, menstruation, pregnancy, or menopause, can make gums more sensitive and prone to gingivitis. [3]
Diabetes and other health conditions
Diabetes affects your body’s ability to fight infection. People with uncontrolled diabetes are more likely to develop gum disease, including gingivitis. [2]
Medications that affect gum health
Some medicines can cause dry mouth, which lowers saliva and makes it easier for plaque to build up. Others may cause gum overgrowth, making it harder to clean around the teeth. [3]
Signs and Symptoms to Watch For
Gingivitis can develop quietly, without causing pain right away. That’s why it’s important to watch for the early warning signs. Catching gingivitis early gives you the best chance of reversing it before it gets worse.
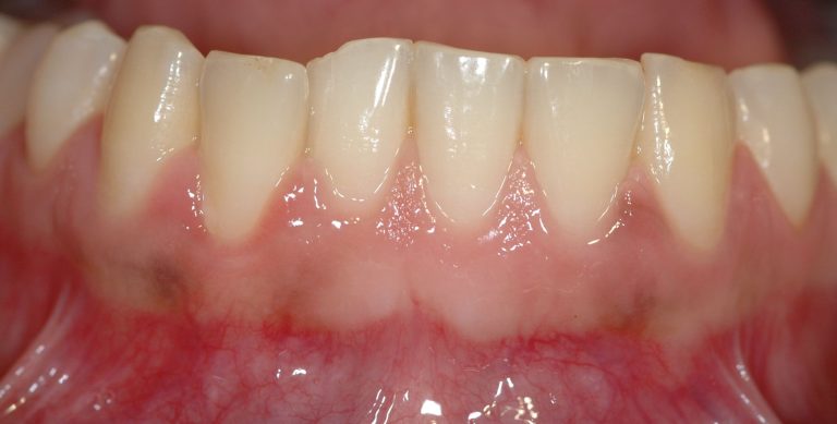
Red, swollen, or tender gums
Gums that are healthy should be pink and firm. Gums that are red, swollen, or painful may be an indication of inflammation caused by plaque buildup. [2]
Bleeding while brushing or flossing
Your gums should not bleed during normal brushing or flossing. If you see blood in the sink or on your toothbrush, it could be a sign that your gums are irritated or infected. [1]
Bad breath (halitosis)
Persistent bad breath or a bad taste in your mouth may be caused by bacteria from gum disease. Even after brushing, the smell might stay if there’s an infection in your gums. [3]
Receding gums or sensitive teeth
If your teeth start to look longer or feel more sensitive to hot or cold, your gums might be pulling away from your teeth. This can be an early sign that gum disease is getting worse. [3]
Gums that appear darker than usual
Healthy gums are usually pink. If your gums look dark red, purple, or even shiny, that could be a sign of inflammation caused by gingivitis. [5]
Healthy gums are the foundation of a healthy smile. Catching gum disease early makes treatment easier and more effective.
Schedule Your Consultation at Englewood Dental Today
Why Early Treatment Matters
Gingivitis might seem like a small problem at first, but ignoring it can lead to much bigger issues. That’s why getting treatment early is so important, not just for your mouth, but for your overall health too.
Risk of progression to periodontitis
If gingivitis is not treated, it can turn into a more serious form of gum disease called periodontitis. This happens when the infection spreads deeper into the gums and affects the bone that holds your teeth in place. [2] Once periodontitis develops, it becomes harder to treat and may require more advanced care.
Potential for tooth loss
As gum disease gets worse, the bone and tissues that support your teeth can break down. This can eventually lead to loose teeth or even tooth loss. [1]
Link to overall health (heart disease, diabetes, etc.)
Gum disease doesn’t just affect your mouth. Studies show it may be linked to other health problems, such as heart disease, diabetes, and stroke. Inflammation from gum disease may raise your risk for these conditions, especially if you already have other health issues. [6]
Emphasize the importance of professional dental cleanings
Regular dental cleanings are one of the best ways to prevent and treat gingivitis. A professional cleaning removes plaque and tartar that brushing and flossing at home can’t reach. Your dentist can also check for early signs of gum problems and guide you on how to care for your teeth and gums at home. [3]
How Gingivitis Is Treated
The good news is that gingivitis can be reversed with the right care. Treatment focuses on removing the cause of the inflammation, plaque, and helping your gums heal.
Professional dental cleaning and plaque removal
The first step in treating gingivitis is getting a professional dental cleaning. Your dentist or hygienist will gently remove plaque and tartar from your teeth, especially around the gumline, where it often builds up. This process is called scaling. [2]
Once the plaque is gone, your gums can start to heal. That’s why regular cleanings are so important, not just for a bright smile, but for healthy gums too.
Improved brushing and flossing habits
At home, it’s important to brush your teeth twice a day with fluoride toothpaste and to floss once a day. This helps keep plaque from coming back. Using a soft-bristled toothbrush and gentle motions can help prevent further irritation to your gums. [3]
Antibacterial mouth rinses
Your dentist may recommend using an antibacterial mouthwash to help reduce bacteria and inflammation in your mouth. These rinses can be especially helpful while your gums are healing. [7]
Follow-up visits and monitoring at Englewood Dental
After your initial cleaning, your dentist will likely schedule follow-up visits to check on your gum health and make sure the gingivitis is improving. At Englewood Dental – The Center for Implants and Aesthetics, we monitor your progress closely and guide you on how to keep your gums healthy for the long term.
At-Home Prevention Tips
Preventing gingivitis starts with good habits at home. By taking care of your teeth and gums every day, you can stop plaque from building up and keep your mouth healthy.
Brush twice a day with fluoride toothpaste
Brushing your teeth in the morning and before bed helps remove plaque and food particles. Be sure to use a fluoride toothpaste, which helps strengthen your teeth and fight bacteria. [8]
Floss daily
Flossing helps clean between your teeth, places your toothbrush can’t reach. Daily flossing removes plaque and reduces the risk of gum irritation and bleeding. [9]
Use a soft-bristle toothbrush
A soft-bristled toothbrush is gentle on your gums and still effective at cleaning your teeth. Brushing too hard or using a stiff brush can damage your gums over time. [10]
Avoid smoking and eat a balanced diet
Smoking makes it harder for your gums to heal and increases your risk of gum disease. Eating a healthy diet with plenty of vitamins, especially vitamin C, supports your immune system and helps keep your gums strong. [4]
Schedule regular checkups and cleanings
Even with good brushing and flossing, you still need regular visits to the dentist. Professional cleanings remove tartar that brushing can’t, and your dentist can catch early signs of gingivitis before it gets worse.
When to See a Dentist
Taking care of your gums at home is important, but sometimes, professional help is needed to keep your smile healthy. Knowing when to see a dentist can help prevent small problems from turning into serious ones.
Persistent bleeding or tenderness
If your gums bleed often when brushing or flossing, or if they feel sore and swollen, it’s a sign that something isn’t right. Healthy gums shouldn’t bleed regularly. This could be a warning sign of gingivitis or early gum disease. [7]
Signs of gum recession
If your teeth start to look longer than usual or feel more sensitive, your gums might be pulling away. This is called gum recession, and it can be a sign that gingivitis is progressing to more advanced gum disease. [3]
If it’s been over 6 months since your last cleaning
Even if you don’t have symptoms, regular dental checkups every six months help prevent gum disease and catch early signs before they become serious. [2]
If it’s been more than six months since your last cleaning, or you’ve noticed changes in your gums, it’s time to take action.
Contact Englewood Dental to Request an Appointment Today
Why Choose Englewood Dental for Gum Health
When it comes to treating and preventing gum disease like gingivitis, choosing the right dental team makes a big difference. At Englewood Dental – The Center for Implants and Aesthetics, your gum health is our priority, and we’re here to help you feel comfortable every step of the way.
Our skilled dentists and hygienists have years of experience helping patients prevent and manage gum disease. Whether you need a simple cleaning or a more advanced treatment, you’ll be in good hands with our knowledgeable team.
We understand that going to the dentist can make some people nervous. That’s why we focus on gentle, compassionate care, taking the time to listen to your concerns and explain each step of your treatment clearly. Your comfort is important to us.
We use the latest dental technology and proven techniques to make treatments more effective and more comfortable. From thorough cleanings to personalized treatment plans, we aim to give you the best possible care for your gums and teeth.
If you’re ready to take control of your gum health, the team at Englewood Dental is here to support you with expert care and a friendly approach. Call us today to schedule your consultation and protect your smile for the future!
References:
- https://www.cdc.gov/oral-health/about/gum-periodontal-disease.html
- https://www.mayoclinic.org/diseases-conditions/gingivitis/symptoms-causes/syc-20354453
- https://www.nidcr.nih.gov/health-info/gum-disease/more-info
- https://www.cdc.gov/tobacco/campaign/tips/diseases/periodontal-gum-disease.html
- https://www.colgate.com/en-us/oral-health/gum-disease/what-is-gingivitis-signs-and-symptoms
- https://www.health.harvard.edu/staying-healthy/gum-disease-and-heart-disease-the-common-thread
- https://www.cdc.gov/oralhealth/conditions/periodontal-disease.html
- https://www.cdc.gov/oralhealth/basics/adult-oral-health/tips.html
- https://www.mouthhealthy.org/all-topics-a-z/flossing
- https://www.nidcr.nih.gov/health-info/tooth-decay/more-info

